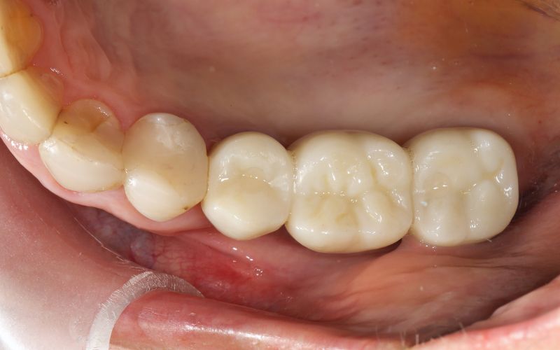
Codzienne czyszczenie pod przęsłem mostu jest niezbędne, bo to właśnie tam najłatwiej zalega płytka bakteryjna. Samo szczotkowanie powierzchni zewnętrznych nie wystarcza, dlatego rutyna powinna łączyć szczoteczkę, specjalistyczną nić do mostów lub irygator oraz precyzyjną kontrolę filarów przy linii dziąseł. Taki schemat drastycznie zmniejsza ryzyko zapalenia dziąseł, próchnicy wtórnej i przedwczesnej utraty pracy protetycznej.
Narzędzia skutecznego czyszczenia mostów zębowych – co warto wybrać?
Kompleksowy zestaw do higieny obejmuje miękką szczoteczkę, nić typu Super Floss, szczoteczki międzyzębowe i irygator. Każde z tych narzędzi działa w innym miejscu: szczoteczka czyści powierzchnie łatwo dostępne, nić i wyciorki docierają głęboko pod przęsło, a irygator wypłukuje resztki z najmniejszych zakamarków.
Szczoteczki soniczne i elektryczne
Szczoteczki soniczne i elektryczne z miękkim włosiem znacznie ułatwiają dokładne mycie filarów i brzegu mostu. Modele takie jak Smilesonic z końcówką OrthoClean mają smukły kształt i wydłużone włosie, co pozwala na precyzyjne dotarcie do linii dziąseł. Do czyszczenia uzupełnień protetycznych zdecydowanie bezpieczniejszy jest tryb delikatny lub codzienny, z pominięciem agresywnych programów wybielających.
Granica między dziąsłem a koroną filarową gromadzi najwięcej osadu, więc końcówkę trzeba prowadzić w tych rejonach wolniej niż przy naturalnych zębach. Przy rozległych uzupełnieniach warto poświęcić mostowi kilkanaście dodatkowych sekund ponad standardowe dwie minuty mycia.

Irygatory stomatologiczne
Irygator doskonale uzupełnia higienę mechaniczną, wypłukując resztki jedzenia spod przęsła i z okolicy dziąseł, jednak nie zastępuje nici dentystycznej. Modele takie jak Philips Sonicare Power Floss 7000 czy Waterpik WP-563 pozwalają regulować ciśnienie w zakresie od 2,75 do 7,6 bara, ułatwiając dobór siły do wrażliwości tkanek.
Strumień wody należy kierować pod kątem do przestrzeni pod mostem, zaczynając zawsze od najniższego ciśnienia, aby uniknąć podrażnień. Przy świeżym krwawieniu dziąseł delikatność jest ważniejsza niż siła strumienia.
Nici dentystyczne i szczoteczki międzyzębowe
Nić z usztywnionym końcem (np. Super Floss) lub specjalny nawlekacz z nicią to najlepsze narzędzia do czyszczenia przestrzeni pod przęsłem. Gąbczasta część nici pozwala oczyścić spód przęsła i objąć filar ruchem w kształcie litery U, co jest znacznie dokładniejsze niż użycie zwykłej nitki, która tylko ślizga się po powierzchni.
Szczoteczki międzyzębowe sprawdzają się lepiej w większych przestrzeniach, ale ich średnicę trzeba precyzyjnie dobrać do anatomii. Zbyt cienka nie usunie osadu skutecznie, a zbyt gruba może uszkodzić brodawki dziąsłowe. W razie wątpliwości rozmiar powinien dobrać higienistka lub stomatolog.
Kryteria wyboru akcesoriów
Dopasowanie narzędzi do kształtu przęsła, szerokości przestrzeni i wrażliwości dziąseł to podstawa. Nawet najdroższy markowy sprzęt nie zadziała prawidłowo, jeśli końcówka będzie zbyt szeroka lub włosie zbyt twarde. Indywidualny dobór akcesoriów w gabinecie (np. w Dental Arts Studio) jest niezbędny, ponieważ dwa mosty o tej samej długości u różnych pacjentów mogą wymagać zupełnie innych narzędzi.
Wpływ higieny mostów na zdrowie jamy ustnej i całego organizmu
Zaniedbania higieniczne niszczą zęby filarowe i dziąsła, zanim zdążą uszkodzić samą konstrukcję protetyczną. Bakterie gromadzące się przy brzegu koron i pod przęsłem wywołują zapalenie dziąseł, nieprzyjemny zapach z ust (halitozę) oraz próchnicę wtórną, która z czasem pozbawia most stabilnego oparcia.
Wysoka liczba bakterii i stale drażnione dziąsła stanowią ogólnoustrojowe obciążenie zapalne, szczególnie niebezpieczne przy obniżonej odporności. Przewlekły stan zapalny przyzębia wpływa na cały organizm. Badania wykazują, że u pacjentów z chorobami jamy ustnej występuje wyższe ryzyko powikłań przy cukrzycy, chorobach serca, udarach mózgu oraz aspiracyjnym zapaleniu płuc.
Zmiany pod mostem rozwijają się często bezobjawowo, przez co pacjent nie odczuwa bólu narastającej płytki. Główne zagrożenia wynikające ze złej higieny to:
- Stany zapalne i krwawienie dziąseł – efekt zalegania płytki przy filarach.
- Obniżanie linii dziąseł (recesja) – prowadzi do nieestetycznego odsłaniania brzegów pracy protetycznej.
- Powstawanie szpar pod uzupełnieniem – potęguje retencję resztek pokarmowych i namnażanie bakterii.
- Utrata pracy protetycznej – następuje w wyniku całkowitego osłabienia zębów filarowych przez próchnicę.

Prawidłowa technika czyszczenia mostów
Podstawą utrzymania uzupełnień protetycznych w idealnym stanie jest regularność. Zęby i mosty należy szczotkować minimum dwa razy dziennie, natomiast przestrzeń pod przęsłem wymaga czyszczenia nicią przynajmniej raz dziennie, najlepiej podczas wieczornej toalety.
Metoda wymiatająca (roll) na powierzchniach zewnętrznych polega na ustawieniu szczoteczki pod kątem 45 stopni do dziąsła i prowadzeniu jej ku koronie. Chroni to brzeg dziąsła i zapobiega wciskaniu osadu pod jego linię. Przestrzeń pod przęsłem wymaga osobnego podejścia: poziome wprowadzanie nici ze sztywnym końcem pozwala oczyścić spód mostu. Nić przeciąga się do części gąbczastej, oplata filar w kształt litery U i wykonuje delikatne ruchy góra-dół.
Optymalna sekwencja czyszczenia to: szczotkowanie, następnie nić lub wycior międzyzębowy, a na samym końcu irygator. Strumień wody wypłukuje odspojone wcześniej resztki po mechanicznym oczyszczaniu.
Znaczenie i harmonogram wizyt kontrolnych
Pierwsza kontrola powinna odbyć się tydzień po oddaniu pracy protetycznej. Pozwala ona skorygować kontakty zwarciowe i sprawdzić adaptację tkanek. Stomatolog ocenia, czy zgryz jest prawidłowy i czy żaden filar nie przyjmuje nadmiernych obciążeń, co chroni ceramikę przed mikropęknięciami. W trakcie tej wizyty odbywa się również praktyczny instruktaż higieny.
Monitorowanie kondycji pracy protetycznej
Standardowy harmonogram zakłada kontrole stomatologiczne co 6 miesięcy, jednak rozległe mosty lub bardzo wrażliwe dziąsła mogą wymagać początkowo częstszych wizyt. Podczas przeglądu lekarz weryfikuje stan tkanek utrzymujących most, w tym dziąseł, zębów filarowych i stawów skroniowo-żuchwowych. Zmiana koloru przy brzegu korony, strzępiąca się nagle nitka lub nawracające krwawienie to sygnały wymagające natychmiastowej diagnostyki pod kątem próchnica.
Długoterminowe korzyści z profilaktyki
Wykrywanie bezobjawowych mikropęknięć porcelany i początków rozszczelnienia brzegów pracy jest możliwe wyłącznie w fotelu dentystycznym. Szybka korekta zwarcia zapobiega kosztownej wymianie całego mostu. Warto zaznaczyć, że osoby palące oraz pacjenci z cukrzycą potrzebują krótszych odstępów między przeglądami ze względu na wyższą skłonność do stanów zapalnych. Konsekwentna profilaktyka to gwarancja wieloletniej trwałości mostu i uniknięcia leczenia kanałowego filarów.
Najczęstsze błędy w czyszczeniu mostów zębowych – jak ich unikać
Wielu pacjentów nieświadomie popełnia błędy, które drastycznie skracają żywotność ich uzupełnień protetycznych. Do najważniejszych pomyłek należą:
- Pomijanie przestrzeni pod przęsłem: Zwykłe szczotkowanie tam nie dociera, co prowadzi do zapalenia dziąseł. Użycie nici typu Super Floss to konieczność.
- Używanie klasycznej nici bez nawlekacza: Zwykła nić nie ma sztywnego końca, przez co nie da się jej wsunąć i manewrować pod mostem.
- Stosowanie wykałaczek i ostrych narzędzi: Podważanie resztek pokarmowych wykałaczkami uszkadza brodawki dziąsłowe i może naruszyć szczelność korony. Zablokowany pokarm należy wypłukać irygatorem.
- Mycie pastami silnie wybielającymi: Pasty z grubymi drobinkami ściernymi (wysokie RDA) matowią porcelanę i podrażniają śluzówkę. Do mycia mostów należy wybierać pasty o niskiej ścieralności.
- Niedokładne czyszczenie linii dziąseł: Pozostawienie osadu przy filarach to główna przyczyna rozwoju próchnica wtórnej.
Innowacyjne technologie w higienie i protetyce
Precyzyjne dopasowanie uzupełnień na etapie ich tworzenia ułatwia pacjentom codzienną pielęgnację. Projektowanie w nowoczesnym systemie CAD/CAM oraz skanowanie wewnątrzustne 3D znacząco poprawiają szczelność brzeżną mostów. Odpowiednio wyprofilowana przez technika geometria przęsła zmniejsza liczbę miejsc retencyjnych, w których mogłaby zalegać płytka bakteryjna.
W codziennej higienie nieocenionym wsparciem stają się irygatory wykorzystujące antybakteryjne płukanki zamiast zwykłej wody. Z kolei biozgodność współczesnych mostów pełnoceramicznych i cyrkonowych obniża ryzyko reakcji alergicznych, pozwalając na utrzymanie bladóróżowego, zdrowego brzegu dziąsła. Należy jednak pamiętać, że nawet najgładsza ceramika nie zwalnia z obowiązku mechanicznego usuwania płytki.
Jak czyścić mosty zębowe? – najczęściej zadawane pytania (FAQ)
Najlepsze rezultaty daje połączenie miękkiej szczoteczki, nici do mostów (np. Super Floss) oraz irygatora. Szczoteczka oczyszcza powierzchnie zewnętrzne, specjalistyczna nić dociera bezpośrednio pod przęsło, a irygator wypłukuje odspojone mechanicznie resztki z trudno dostępnych szczelin.
Przestrzeń pod przęsłem wymaga codziennego używania nici z usztywnionym końcem lub odpowiednio dobranej szczoteczki międzyzębowej. Irygator stanowi tu doskonałe uzupełnienie, jednak nie jest w stanie zastąpić mechanicznego ścierania płytki bakteryjnej z zębów filarowych.
Można, ale wymaga to zastosowania specjalnego nawlekacza. Zwykła nić jest zbyt wiotka i nie posiada sztywnego prowadzenia, co całkowicie uniemożliwia jej bezpośrednie wsunięcie w przestrzeń pod przęsłem mostu.
Nie, irygator nie zastępuje czyszczenia mechanicznego. Strumień wody świetnie wypłukuje luźne resztki pokarmowe, ale nie zdejmuje przylegającej, lepkiej płytki bakteryjnej. Urządzenie to powinno być zawsze stosowane jako ostatni etap higieny, po użyciu szczoteczki i nici.
Trwałość poprawnie wykonanego mostu wynosi wiele lat (często od 10 do 15 lat, a nawet dłużej). Głównym warunkiem jest jednak utrzymanie w zdrowiu zębów filarowych. Decyduje o tym codzienna, skrupulatna higiena, brak przeciążeń zgryzowych (np. w wyniku bruksizmu) oraz regularne wizyty kontrolne co 6 miesięcy.


















